Category Archives: Uncategorized

en cas d’urgence dentaire .

Comment faire en cas d’urgence dentaire ?

Les cure-dents sont souvent utilisés pour enlever les résidus alimentaires coincés entre les dents après les repas. Bien que cela puisse sembler inoffensif, l’usage fréquent et incorrect des cure-dents peut avoir des conséquences néfastes sur la santé bucco-dentaire. Ainsi, dans cet article, nous vous expliquons les principaux risques associés à leur usage excessif, et nous vous présentons des alternatives plus sûres.

.

1. Blessures et saignements de la gencive

L’usage répété et agressif des cure-dents peut provoquer des micro-blessures au niveau des gencives, entraînant douleurs, saignements et irritations. En effet, ces lésions fragilisent les tissus gingivaux. De plus, elles constituent une porte d’entrée pour les bactéries, ce qui augmente considérablement le risque d’infections.

2. Inflammation gingivale (gingivite)

La stimulation constante et traumatisante des gencives peut conduire à une inflammation chronique, appelée gingivite. Ce trouble se manifeste par des gencives rouges, gonflées, douloureuses et saignantes au brossage. Par conséquent, si elle n’est pas traitée rapidement, la gingivite peut évoluer vers une forme plus grave de maladie parodontale : la parodontite.

3. Élargissement des espaces entre les dents

Au fil du temps, un usage intensif des cure-dents peut provoquer l’élargissement des espaces interdentaires. En forçant constamment le passage, les dents peuvent se déplacer légèrement. Ainsi, la rétention des aliments devient plus fréquente, ce qui favorise la formation de plaque et augmente le risque de caries.

4. Usure ou fracture des dents

Le frottement régulier d’un cure-dent en bois contre l’émail peut entraîner une usure prématurée des dents. Dans certains cas, cela peut même provoquer des microfissures ou des fractures, notamment si le cure-dent est utilisé de manière brusque. Il est donc essentiel de manipuler la zone interdentale avec douceur.

5. Risque d’infection

Lorsqu’un éclat de bois se détache ou qu’une blessure gingivale est créée, le risque d’infection augmente. Cela est particulièrement préoccupant chez les personnes ayant une santé fragile ou une pathologie chronique. En cas de doute, il est recommandé de consulter un professionnel de santé dentaire rapidement.

Quelles alternatives privilégier ?

Pour nettoyer efficacement et en toute sécurité les espaces interdentaires, il est préférable d’utiliser des outils conçus à cet effet :

  • Le fil dentaire ou les brossettes interdentaires, qui sont à la fois doux et efficaces.
  • Les hydropulseurs dentaires, qui utilisent un jet d’eau pour éliminer les résidus sans contact direct.
  • Enfin, un détartrage professionnel régulier chez votre dentiste permet de compléter votre hygiène bucco-dentaire.

En conclusion

Même si l’usage ponctuel d’un cure-dent peut sembler pratique, son usage excessif ou inapproprié présente de nombreux dangers. Par conséquent, il est fortement conseillé de privilégier des outils dentaires sûrs et validés cliniquement.

Chez Clinique Dentaire Internationale Agadir, nous mettons à votre disposition des soins modernes et une équipe à l’écoute pour préserver votre santé buccale.

cure-dents

Les dangers de l’utilisation excessive des cure-dents

 Les cure-dents sont souvent utilisés pour enlever les résidus alimentaires coincés entre les dents après les repas. Bien que cela puisse sembler inoffensif, l’usage fréquent et incorrect des cure-dents peut avoir des conséquences néfastes sur la santé bucco-dentaire. Ainsi, dans cet article, nous vous expliquons les principaux risques associés à leur usage excessif, et nous vous présentons des alternatives plus sûres.

.

1. Blessures et saignements de la gencive

L’usage répété et agressif des cure-dents peut provoquer des micro-blessures au niveau des gencives, entraînant douleurs, saignements et irritations. En effet, ces lésions fragilisent les tissus gingivaux. De plus, elles constituent une porte d’entrée pour les bactéries, ce qui augmente considérablement le risque d’infections.

2. Inflammation gingivale (gingivite)

La stimulation constante et traumatisante des gencives peut conduire à une inflammation chronique, appelée gingivite. Ce trouble se manifeste par des gencives rouges, gonflées, douloureuses et saignantes au brossage. Par conséquent, si elle n’est pas traitée rapidement, la gingivite peut évoluer vers une forme plus grave de maladie parodontale : la parodontite.

3. Élargissement des espaces entre les dents

Au fil du temps, un usage intensif des cure-dents peut provoquer l’élargissement des espaces interdentaires. En forçant constamment le passage, les dents peuvent se déplacer légèrement. Ainsi, la rétention des aliments devient plus fréquente, ce qui favorise la formation de plaque et augmente le risque de caries.

4. Usure ou fracture des dents

Le frottement régulier d’un cure-dent en bois contre l’émail peut entraîner une usure prématurée des dents. Dans certains cas, cela peut même provoquer des microfissures ou des fractures, notamment si le cure-dent est utilisé de manière brusque. Il est donc essentiel de manipuler la zone interdentale avec douceur.

5. Risque d’infection

Lorsqu’un éclat de bois se détache ou qu’une blessure gingivale est créée, le risque d’infection augmente. Cela est particulièrement préoccupant chez les personnes ayant une santé fragile ou une pathologie chronique. En cas de doute, il est recommandé de consulter un professionnel de santé dentaire rapidement.

Quelles alternatives privilégier ?

Pour nettoyer efficacement et en toute sécurité les espaces interdentaires, il est préférable d’utiliser des outils conçus à cet effet :

  • Le fil dentaire ou les brossettes interdentaires, qui sont à la fois doux et efficaces.
  • Les hydropulseurs dentaires, qui utilisent un jet d’eau pour éliminer les résidus sans contact direct.
  • Enfin, un détartrage professionnel régulier chez votre dentiste permet de compléter votre hygiène bucco-dentaire.

En conclusion

Même si l’usage ponctuel d’un cure-dent peut sembler pratique, son usage excessif ou inapproprié présente de nombreux dangers. Par conséquent, il est fortement conseillé de privilégier des outils dentaires sûrs et validés cliniquement.

Chez Clinique Dentaire Internationale Agadir, nous mettons à votre disposition des soins modernes et une équipe à l’écoute pour préserver votre santé buccale.

un bain de bouche

Faut-il utiliser un bain de bouche ? La vérité sur ce geste quotidien

Le brossage et le passage du fil dentaire sont essentiels à une bonne hygiène bucco-dentaire. Cependant, qu’en est-il du bain de bouche ? Est-ce un complément utile ou simplement un geste accessoire ? Tout dépend de vos besoins. Dans bien des cas, le bain de bouche peut apporter de réels bénéfices à votre routine dentaire.

Les bienfaits du bain de bouche

  1. Il rafraîchit l’haleine
    Avant tout, c’est l’effet le plus immédiat. Le bain de bouche masque les mauvaises odeurs tout en éliminant les bactéries responsables de l’halitose.
  2. Il aide à réduire la plaque et les bactéries
    En complément du brossage, les bains de bouche antibactériens (comme ceux à la chlorhexidine ou aux huiles essentielles) limitent la prolifération des bactéries et contribuent à prévenir les maladies parodontales.
  3. Il protège contre les caries
    En outre, les bains de bouche contenant du fluor renforcent l’émail dentaire, ce qui rend les dents plus résistantes aux attaques acides.
  4. Il apaise les gencives sensibles
    Par exemple, après un détartrage ou une intervention, un bain de bouche prescrit peut réduire les inflammations et favoriser la cicatrisation.
  5. Il atteint les zones difficiles d’accès
    Enfin, il complète le brossage en atteignant les espaces interdentaires et sous-gingivaux, souvent oubliés lors du nettoyage quotidien.

⚠️ Dans quels cas le bain de bouche n’est pas indispensable ?


Bien qu’il puisse être utile, le bain de bouche n’est pas toujours nécessaire. Voici quelques cas où son usage peut être limité :

Si vous avez une excellente hygiène bucco-dentaire (brossage 2 fois par jour, fil dentaire quotidien), un bain de bouche cosmétique n’apportera pas beaucoup plus.

Il ne doit jamais remplacer le brossage ni le fil dentaire.

Certains produits contenant de l’alcool peuvent provoquer une sécheresse buccale ou des irritations, notamment chez les personnes sensibles.

C’est pourquoi il est essentiel de bien choisir le produit adapté à votre situation.

Quel type de bain de bouche choisir ?


Selon votre besoin, le type de produit recommandé varie :

Besoin Type de bain de bouche
Rafraîchir l’haleine Cosmétique, sans alcool
Prévenir les caries Bain de bouche fluoré
Inflammation gingivale Antibactérien (chlorhexidine, huiles essentielles)
Post-opératoire Sur prescription (usage limité)
Sensibilité buccale Formule douce, sans alcool

Avant tout, demandez conseil à votre chirurgien-dentiste, notamment si vous envisagez un usage régulier ou médical.

Quand et comment utiliser le bain de bouche ?


Pour une efficacité optimale, suivez ces étapes simples :
Utilisez-le après le brossage et le fil dentaire, sauf avis contraire du dentiste.
Gardez-le en bouche entre 30 et 60 secondes, sans avaler.
Ne rincez pas à l’eau après un bain de bouche fluoré, afin de ne pas en réduire l’effet.
Évitez de manger ou de boire pendant 30 minutes après l’utilisation.
Grâce à ces précautions, vous maximisez les bienfaits de votre soin.

Le bain de bouche n’est pas indispensable pour tout le monde, mais il peut devenir un allié précieux selon vos besoins. Il aide à prévenir les problèmes bucco-dentaires, à garder une haleine fraîche et à compléter votre hygiène. En somme, bien utilisé et bien choisi, le bain de bouche renforce votre santé orale. Demandez toujours conseil à votre dentiste pour adopter les bons gestes.

traitement de canal

Les 7 meilleurs conseils pour bien récupérer après un traitement de canal

1. Suivez les instructions de votre dentiste à la lettre


Votre chirurgien-dentiste vous donnera des consignes précises après l’intervention :


prise de médicaments, hygiène buccale, précautions à prendre. Respectez-les scrupuleusement.

2. Prenez les médicaments prescrits


Même si vous vous sentez bien, suivez bien le traitement antibiotique ou antidouleur. Cela évite les infections et réduit l’inflammation.

3. Mangez des aliments mous pendant quelques jours


Évitez tout ce qui est dur, croquant ou collant. Privilégiez :

Purées

Soupes

Yaourts

Smoothies

Légumes cuits

Cela évite de solliciter la dent traitée et limite les douleurs.

4. Appliquez une poche de glace en cas de gonflement


Si vous ressentez une légère enflure, appliquez une compresse froide sur la joue pendant 10 à 15 minutes par heure, le premier jour.

5. N’oubliez pas la couronne finale


Le traitement est souvent complété par une couronne ou un composite définitif. Ne manquez pas ce rendez-vous ! Une dent dévitalisée sans protection est plus fragile.

6. Évitez l’alcool et le tabac


Le tabac et l’alcool ralentissent la cicatrisation et augmentent les risques d’infection. Il est conseillé de s’en abstenir au moins 72 heures après le traitement.

7. Maintenez une hygiène bucco-dentaire rigoureuse


Brossez-vous les dents avec douceur autour de la zone traitée et utilisez du fil dentaire. Une bonne hygiène favorise une cicatrisation optimale.

Bonus : contactez votre dentiste si vous avez un doute
Appelez immédiatement si vous observez :

Une douleur persistante ou croissante

Un gonflement important

De la fièvre

Un écoulement ou un mauvais goût

Ce sont des signes d’infection ou de complication à surveiller de près.


Avec un peu de vigilance et de douceur, la récupération après un traitement de canal peut se faire rapidement et sans douleur. Prenez soin de votre bouche, suivez les conseils de votre dentiste, et continuez à sourire !

La chimie endodontique

La chimie endodontique : l’irrigation, une étape clé du traitement canalaire

En endodontie, la réussite du traitement radiculaire ne dépend pas uniquement de l’instrumentation mécanique. La chimie endodontique, et plus particulièrement l’irrigation, joue un rôle crucial dans l’élimination des bactéries, des débris pulpaires et du biofilm intracanalaire. Zoom sur cette phase souvent invisible mais déterminante du soin endodontique.

Pourquoi l’irrigation est-elle indispensable ?

Les limes seules ne peuvent pas nettoyer entièrement le système canalaire, en particulier les zones anatomiquement complexes (isthmes, canaux latéraux, anastomoses).

L’irrigation chimique :

  • Dissout les tissus nécrotiques
  • Élimine la smear layer (boues dentinaires)
  • Détruit les micro-organismes
  • Lubrifie les instruments
  • Améliore la pénétration des obturations

Les principales solutions d’irrigation

1. Hypochlorite de sodium (NaOCl)

  • Concentration : 2,5 à 6 %
  • Action : Dissolution tissulaire + activité antibactérienne puissante
  • Attention : cytotoxique à haute concentration, doit être manipulé avec précaution

2. EDTA (acide éthylènediaminetétraacétique)

  • Concentration : 15 à 17 %
  • Action : élimine la smear layer en chélatant les ions calcium
  • Complémentaire au NaOCl, mais ne l’utilise pas en même temps

3. Chlorhexidine (CHX)

  • Concentration : 0,12 à 2 %
  • Action : Antiseptique à large spectre, sans action dissolvante
  • Utilisé souvent en fin d’irrigation ou si NaOCl contre-indiqué

4. Autres agents récents

  • Solutions activées par laser, ultrasons, ou agitation sonique
  • Nanoparticules ou irrigants à base de surfactants (QMix, MTAD)

Techniques d’activation

Pour une efficacité maximale, les solutions doivent être activées :

  • Agitation manuelle (avec une lime ou un cône papier)
  • Sonic / ultrasonique (ex. EndoActivator, Irrisafe)
  • Laser (PIPS/LAI) : activation photoacoustique de l’irrigant
  • Chauffage du NaOCl pour améliorer sa pénétration

⚠️ Précautions cliniques

  • Ne jamais forcer l’irrigant au-delà du foramen apical
  • Utiliser des aiguilles latérales à embout fermé
  • Respecter l’ordre des irrigants (NaOCl → EDTA → NaOCl ou CHX selon le protocole)

🔬 Conclusion

La chimie endodontique est une alliée incontournable du traitement radiculaire. Une irrigation bien conduite, avec les bons agents et une activation adéquate, améliore considérablement le taux de succès endodontique.

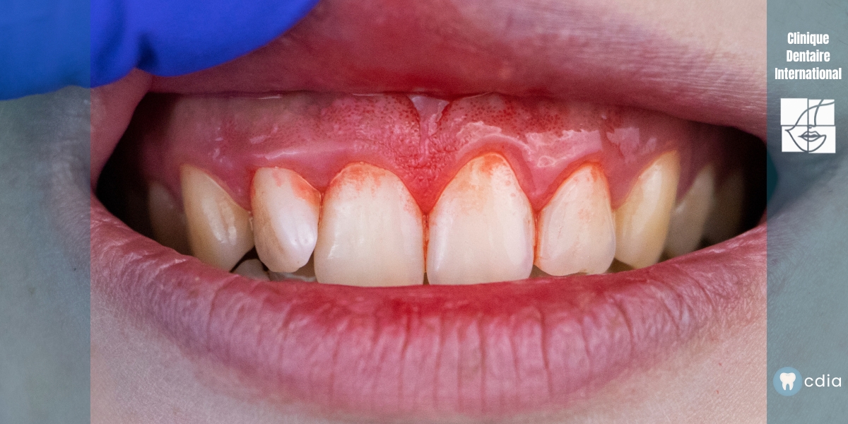
Gencives qui saignent

Gencives qui saignent : causes, traitements et préventionBleeding gums – causes and treatment

Des gencives qui saignent ne doivent jamais être ignorées. Bien que cela puisse sembler anodin, ce symptôme est souvent le signe d’un problème sous-jacent qui peut évoluer vers une maladie parodontale plus grave si rien n’est fait. Dans cet article, nous vous expliquons les principales causes du saignement gingival, les traitements disponibles, et les gestes à adopter pour prévenir ce problème.

Pourquoi vos gencives saignent-elles ?

Voici les causes les plus fréquentes :

1. Gingivite (inflammation des gencives)

La cause n°1 du saignement. Elle résulte d’une accumulation de plaque dentaire à la base des dents.
Signes associés : rougeur, gonflement, sensibilité.

2. Parodontite (infection avancée des gencives)

Lorsque la gingivite n’est pas traitée, elle peut évoluer en parodontite. Cela affecte les tissus de soutien de la dent.
Signes associés : saignement persistant, mauvaise haleine, mobilité dentaire.

3. Brossage trop agressif ou mauvaise technique

Utiliser une brosse trop dure ou exercer une pression excessive peut irriter les gencives.
Conseil : privilégiez une brosse souple et des gestes doux.

4. Carence en vitamines (surtout vitamine C et K)

Un manque de vitamine C (scorbut) ou K peut rendre les gencives plus fragiles.
Solution : adoptez une alimentation équilibrée riche en fruits, légumes, et produits fermentés.

5. Tabac et stress

Le tabac masque souvent les signes de saignement, mais aggrave l’état des gencives. Le stress, lui, affaiblit le système immunitaire.

6. Changement hormonal (grossesse, puberté, ménopause)

Ces périodes augmentent la sensibilité des gencives aux bactéries.

7. Certains médicaments

Les anticoagulants, antihypertenseurs, ou immunosuppresseurs peuvent favoriser les saignements gingivaux.

Que faire en cas de gencives qui saignent ?

✅ Consultez votre dentiste rapidement

Un diagnostic précoce permet d’éviter des complications graves comme la perte de dents.

✅ Améliorez votre hygiène bucco-dentaire

  • Brossez vos dents 2 à 3 fois par jour avec une brosse souple.
  • Utilisez du fil dentaire ou des brossettes interdentaires.
  • Complétez par un bain de bouche antibactérien (sur recommandation).

✅ Faites un détartrage professionnel

Le tartre est une cause majeure d’inflammation. Le détartrage élimine la plaque durcie responsable.

✅ Corrigez votre alimentation

Apportez suffisamment de vitamines C, D, et K. Limitez les sucres.

✅ Évitez le tabac et réduisez le stress

Ce sont deux facteurs aggravants de la santé gingivale.

Quand faut-il s’inquiéter ?

Consultez immédiatement si vous remarquez :

  • Un saignement quotidien ou spontané (même sans brossage)
  • Une mauvaise haleine persistante
  • Une douleur ou un gonflement des gencives
  • Une mobilité dentaire

Conclusion

Le saignement des gencives n’est pas normal, même occasionnellement. Il signale un déséquilibre de votre santé bucco-dentaire. Heureusement, il est réversible dans la majorité des cas, à condition d’agir rapidement. Une bonne hygiène, une alimentation adaptée et des visites régulières chez le dentiste sont la clé pour retrouver des gencives saines et solides.

Pourquoi mes dents ont-elles une sensation de rugosité ?

Tartre dentaire

Tartre dentaire (calculus) : Ce que tout le monde devrait savoir

Le tartre dentaire, également appelé calculus en anglais médical, est un problème courant mais souvent sous-estimé. Il ne s’agit pas simplement d’un dépôt inesthétique : c’est une menace silencieuse pour vos dents et vos gencives. Dans cet article, nous allons vous expliquer ce qu’est le tartre, comment il se forme, les risques qu’il représente pour votre santé bucco-dentaire, et surtout, comment le prévenir efficacement.

Qu’est-ce que le tartre dentaire ?

Le tartre est une plaque dentaire durcie par la minéralisation. Il se forme lorsque la plaque bactérienne n’est pas correctement éliminée par le brossage et le fil dentaire. Une fois calcifiée, elle devient impossible à enlever par des moyens classiques à la maison.

Où se forme le tartre ?

  • Au-dessus de la gencive (tartre supra-gingival) : visible, jaunâtre ou brunâtre, souvent à la base des dents.
  • Sous la gencive (tartre sous-gingival) : invisible à l’œil nu, plus dangereux, car il favorise la parodontite.

Quels sont les risques liés au tartre ?

  • Mauvaise haleine (halitose) persistante
  • Inflammation des gencives (gingivite)
  • Déchaussement des dents (parodontite)
  • Taches sur les dents
  • Inconfort esthétique et sensibilités dentaires

Le tartre favorise l’accumulation de bactéries pathogènes, qui attaquent les tissus de soutien de la dent. Si non traité, cela peut entraîner la perte de dents.

Comment prévenir l’apparition du tartre ?

Brossage efficace 2 à 3 fois par jour
Utilisez une brosse à dents électrique et un dentifrice anti-tartre.

Fil dentaire ou brossettes interdentaires
Ils éliminent la plaque dans les zones inaccessibles à la brosse.

Bain de bouche antibactérien
Aide à réduire les bactéries responsables de la plaque.

Alimentation équilibrée
Évitez les sucres fréquents et favorisez les aliments croquants et non transformés.

Hydratation régulière
La salive joue un rôle crucial dans l’élimination naturelle des bactéries.

Le seul traitement efficace : le détartrage professionnel

Une fois le tartre formé, seul un détartrage chez le dentiste permet de l’éliminer. Il est recommandé de le faire tous les 6 à 12 mois, en fonction de votre hygiène et de votre prédisposition à accumuler du tartre.

Les idées reçues à éviter

« Le tartre s’enlève avec un dentifrice spécial. »

Faux. Aucun produit en vente libre ne peut éliminer le tartre déjà formé.

« Je n’ai pas de douleur donc je n’ai pas de tartre. »

Le tartre peut s’accumuler sans symptômes visibles au début.

Le tartre est bien plus qu’un simple souci esthétique. Il représente un véritable danger pour vos dents et vos gencives s’il n’est pas pris au sérieux. La bonne nouvelle ? Il est facilement évitable grâce à une bonne hygiène bucco-dentaire et des visites régulières chez le dentiste. Prévention et détartrage sont vos meilleures armes pour conserver un sourire sain et éclatant.

hydropulseur dentaire

7 erreurs à éviter lors du choix d’un hydropulseur dentaire

L’hydropulseur dentaire, aussi appelé jet dentaire, est un excellent complément au brossage classique. Il permet d’éliminer les débris alimentaires et la plaque dentaire dans les zones difficiles d’accès, notamment entre les dents et sous la gencive. Mais face à la multitude de modèles disponibles, il est facile de faire le mauvais choix. Voici les 7 erreurs les plus fréquentes à éviter pour bien choisir votre hydropulseur et protéger efficacement votre santé bucco-dentaire.


1. Choisir un appareil sans réglage de pression

Erreur fréquente : Acheter un modèle avec une seule puissance.
Pourquoi c’est un problème : Trop de pression peut irriter les gencives sensibles.
Ce qu’il faut faire : Optez pour un hydropulseur avec plusieurs niveaux de pression pour adapter l’intensité à vos besoins.


2. Ignorer la capacité du réservoir

Erreur fréquente : Choisir un réservoir trop petit.
Inconvénient : Vous serez obligé de le remplir plusieurs fois par utilisation, ce qui est peu pratique.
Conseil : Préférez une capacité de 300 ml minimum pour un nettoyage complet sans interruption.

3. Négliger le type d’hydropulseur (portable vs. fixe)

Erreur fréquente : Acheter un modèle portable alors que vous avez besoin d’un usage familial.
À savoir :

  • Les modèles portables sont idéaux pour les voyages.
  • Les modèles de comptoir sont plus puissants et adaptés à un usage quotidien à domicile.
    Astuce : Choisissez selon votre style de vie et vos besoins.

4. Penser qu’un seul embout suffit pour toute la famille

Erreur fréquente : Utiliser un embout pour plusieurs personnes.
Risques : Manque d’hygiène et transmission de bactéries.
Solution : Choisissez un modèle livré avec plusieurs embouts colorés pour chaque membre de la famille.

5. Oublier de vérifier la compatibilité avec les implants, couronnes ou appareils orthodontiques

Erreur fréquente : Utiliser un hydropulseur trop puissant ou mal adapté.
Conséquence : Risque de déloger une couronne ou d’endommager un appareil orthodontique.
Bon réflexe : Vérifiez que l’appareil est recommandé pour les porteurs d’implants ou d’appareils.

6. Se baser uniquement sur le prix

Erreur fréquente : Privilégier un modèle très bon marché.
Ce qu’il faut comprendre : Un hydropulseur de mauvaise qualité peut fuir, avoir une autonomie limitée ou une pression inefficace.
Conseil : Investissez dans un appareil de qualité, surtout pour un usage quotidien.

7. Ne pas consulter les avis utilisateurs et les tests

Erreur fréquente : Acheter sans vérifier la réputation du produit.
Pourquoi c’est risqué : Vous pourriez vous retrouver avec un produit bruyant, fragile ou inefficace.
Astuce : Lisez les avis clients sur plusieurs plateformes et consultez des comparatifs fiables avant de décider.

Conclusion

L’hydropulseur peut devenir un allié indispensable pour votre hygiène bucco-dentaire — à condition de bien le choisir. En évitant ces 7 erreurs, vous vous assurez d’investir dans un appareil efficace, adapté à vos besoins, et durable. N’oubliez pas qu’un bon entretien buccal passe aussi par une consultation régulière chez votre dentiste.

Se brosser les dents avec du bicarbonate de soude : est-ce vraiment bon pour vos dents ?

vitamines et minéraux

8 minéraux et vitamines essentiels pour des dents saines et leurs effets

Pour conserver des dents fortes et une bouche en bonne santé, il ne suffit pas de se brosser les dents et de consulter son dentiste. L’alimentation joue également un rôle clé. Certains minéraux et vitamines sont essentiels à la solidité des dents, à la prévention des caries et à la santé des gencives. Voici les 8 nutriments les plus importants et leurs effets sur votre santé bucco-dentaire.

1. Calcium

  • Effet : Renforce l’émail dentaire et la mâchoire.
  • Sources : Produits laitiers, amandes, brocoli.
  • Pourquoi c’est important : Une carence en calcium fragilise les dents.

2. Vitamine D

  • Effet : Aide à absorber le calcium et renforce les os.
  • Sources : Soleil, poissons gras, œufs.
  • Lien santé : Une carence en vitamine D augmente le risque de caries et de parodontite.

3. Phosphore

  • Effet : Travaille en synergie avec le calcium pour solidifier les dents.
  • Sources : Viande, volaille, poisson, graines.

4. Vitamine A

  • Effet : Maintient la santé des muqueuses buccales et stimule la production de salive.
  • Sources : Carottes, patates douces, épinards.
  • Avantage : Protège contre les infections et favorise la cicatrisation.

5. Vitamine C

  • Effet : Essentielle à la santé des gencives, production de collagène et prévention des inflammations.
  • Sources : Agrumes, fraises, poivrons.
  • Carence : Peut entraîner des saignements gingivaux.

6. Fluor

  • Effet : Renforce l’émail dentaire et prévient la formation des caries.
  • Sources : Eau fluorée, dentifrice au fluor, thé noir.
  • Conseil : Utiliser un dentifrice fluoré au quotidien.

7. Magnésium

  • Effet : Contribue à la formation des structures dentaires.
  • Sources : Noix, graines, légumes à feuilles vertes.

8. Vitamine K2

  • Effet : Dirige le calcium vers les os et les dents, empêchant son dépôt dans les artères.
  • Sources : Produits fermentés, foie, fromages.
  • Particularité : Travaillent en synergie avec les vitamines D et A.

Conclusion

Inclure ces vitamines et minéraux essentiels dans votre alimentation quotidienne contribue fortement à la prévention des caries, au renforcement des dents et à la santé des gencives. Une alimentation équilibrée combinée à une bonne hygiène bucco-dentaire = sourire éclatant garanti !

Blanchiment dentaire : offrez un nouvel éclat à votre sourire

Blanchiment dentaire

Blanchiment dentaire : offrez un nouvel éclat à votre sourire

Le blanchiment dentaire est l’un des soins esthétiques les plus demandés aujourd’hui. Il permet d’éclaircir les dents en éliminant les taches causées par le café, le thé, le tabac ou le vieillissement. À la Clinique Dentaire Internationale d’Agadir, nous utilisons les dernières technologies pour vous offrir un sourire plus blanc en toute sécurité.

Pourquoi les dents jaunissent-elles ?

Plusieurs facteurs expliquent la coloration des dents :

  • La consommation fréquente de café, thé, vin rouge ou sodas.
  • Le tabac, qui laisse des dépôts foncés.
  • L’âge : l’émail s’amincit et laisse apparaître la dentine, plus foncée.
  • Certains médicaments ou traitements médicaux.

Heureusement, le blanchiment dentaire peut corriger efficacement ces défauts.

Les techniques de blanchiment dentaire

1. Blanchiment en cabinet

C’est la méthode la plus rapide et la plus efficace. Elle se réalise en une seule séance à la clinique. Le dentiste applique un gel blanchissant renforcé par une lampe LED ou laser. Le résultat est visible immédiatement.

2. Blanchiment à domicile

Nous proposons aussi des gouttières personnalisées à porter chez vous, avec un gel adapté. Le traitement dure entre 7 et 14 jours, selon les cas.

👉 Pour savoir quelle technique vous convient le mieux, une consultation est indispensable.

Est-ce que le blanchiment dentaire est dangereux ?

Non, si le traitement est réalisé sous supervision professionnelle. Le gel utilisé est sûr pour les dents et les gencives. Un examen préalable est toujours fait pour vérifier l’absence de caries ou de maladies gingivales.

Résultats et durée

Le résultat dépend de la teinte initiale de vos dents. En général, on observe un éclaircissement de 2 à 8 teintes. L’effet dure entre 6 mois et 2 ans. Une bonne hygiène bucco-dentaire et des habitudes saines prolongent les effets.

Conseils après un blanchiment

  • Évitez les aliments colorants pendant 48 h.
  • Ne fumez pas durant cette période.
  • Utilisez un dentifrice doux sans agents abrasifs.

Prix du blanchiment dentaire à Agadir

À la Clinique Dentaire Internationale, les tarifs sont accessibles, avec des résultats visibles dès la première séance. Le coût dépend de la technique choisie. Contactez-nous pour un devis personnalisé.

Pourquoi choisir la Clinique Dentaire Internationale d’Agadir ?

  • Technologie de pointe (laser, LED).
  • Dentistes spécialisés en esthétique.
  • Résultats rapides et naturels.
  • Prise en charge complète et sécurisée.

Articles liés

 Lisez notre article : Comment garder ses dents blanches après un blanchiment ?

Prenez rendez-vous à la Clinique Dentaire Internationale d’Agadir